医学物理是将物理学中的原理和方法应用于临床疾病的诊断、治疗、预防和保健的学科,也是一门融合了物理学、数学、化学、生物学、医学、计算机科学、工程科学以及智能信息科学等多学科知识的新兴交叉学科。其核心内容包括计算机断层成像(CT)、磁共振成像(MR)、正电子发射断层成像(PET)、超声成像(US)及放射治疗(RT)和消融等,是保障人民生命健康和开展高水平医疗装备研发的基础。设立有全国首个医学物理博士点。
目前团队成员8人,包括2位国家级人才、1位国家级青年人才、3位教授和2位副教授组成,团队负责人赵维教授。近5年发表SCI论文80余篇,包括Nature子刊1篇,Cell子刊1篇,放疗领域顶级期刊“红皮书”、“绿皮书”,以及医学图像分析领域顶刊MedIA多篇;获授权和公开中国、美国发明专利10余件。主持国家自然科学基金重点项目、科技部重点研发计划,以及企业“揭榜挂帅”项目多项。在英国物理学会、科学出版社等机构出版医学物理相关专著与教材6部。成果转化至10余家国内外单位。
成员受邀担任中国核工业教育学会副理事长、中国核学会医学物理分会理事、北京核学会理事、医学物理领域权威期刊Medical Physics副主编、北京科协“千人进千企”产业特派员等学术和社会兼职。获“胡济民教育科学奖”、“国际光学工程学会青年科学家奖”、“美国放射肿瘤学会基础转化科学奖”、“美国放射肿瘤学会年度最佳报告”等。
团队与国家癌症中心、北京大学第三医院、北京大学肿瘤医院、解放军总医院、国科离子有限公司等国内顶级三甲医院及产业龙头企业保持深度合作,形成了医工结合、产学联动的创新合作体系。建立了由大三甲医院科室主任、海外名校教授及行业资深工程师组成的20余人校外兼职导师团队,为员工提供一流的科研指导与实践平台。团队与合作单位共同探索的“产学研医联动的医学物理创新人才培养模式”荣获yl9193永利集团教学成果特等奖,成为国内高校医学物理教育的重要示范。团队设立了“医科达奖学金”和“国科离子奖学金”,持续鼓励员工在科研与临床创新中追求卓越。此外,团队已连续举办四届“医学物理国际暑期公司”,吸引了来自全国及海外的优秀师生参与,在全国范围内引起热烈反响。通过持续建设与创新,团队构建的“产学研医”协同培养体系,正成为我国医学物理团队建设与高水平人才培养的重要示范力量。
研究方向:
l 医学物理人工智能
l 先进射线成像算法
l 高性能成像装备制造
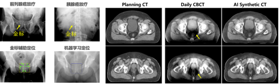
l 图像引导放射治疗
l 粒子治疗
